医療法人社団翔優会マーブルファミリー歯科クリニック

矯正予約サイト

〒270-0101 千葉県流山市大字東深井871-185
スーパーベルク東深井店の駐車場を利用できます。

診療時間
9:00~13:00 ×

14:30~18:30

×

△:14:30~18:00 休診日:月曜・祝日
最終受付は、診療終了の30分前です。

ご予約・お問合せはこちら

04-7168-0330

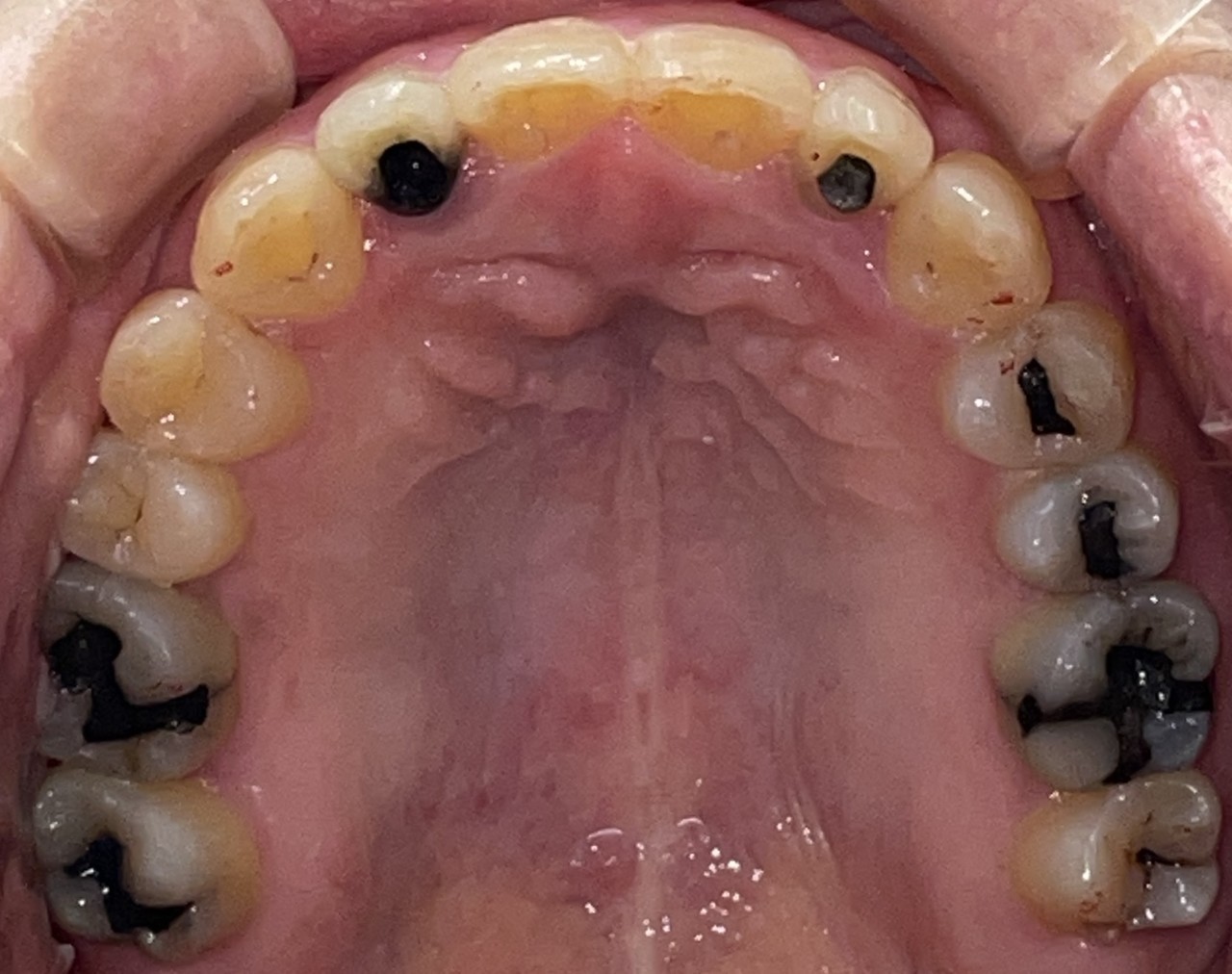
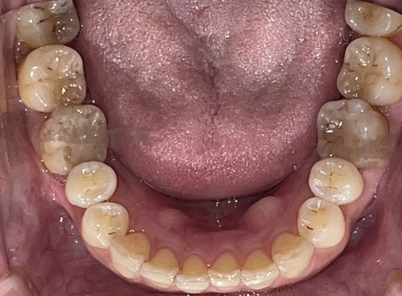
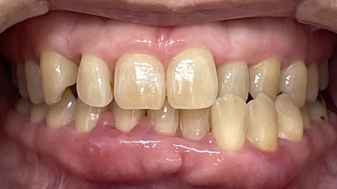
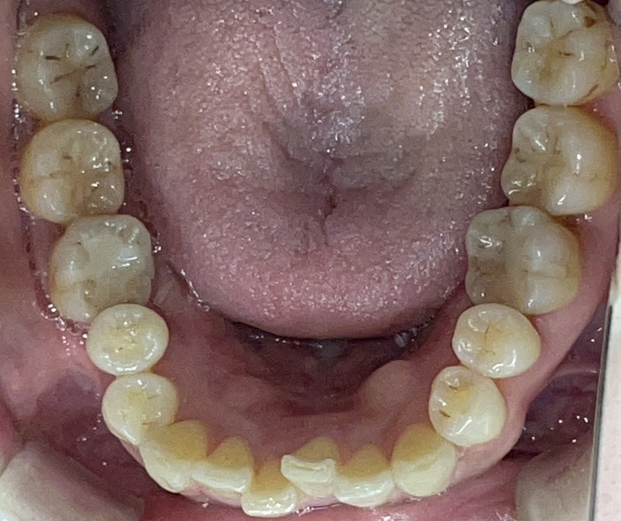
当院の症例紹介

当院の症例をご紹介します。

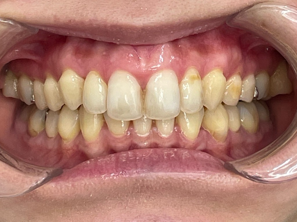
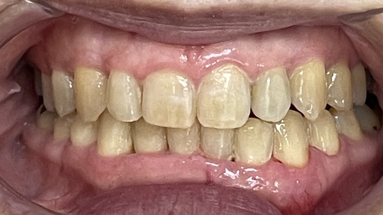
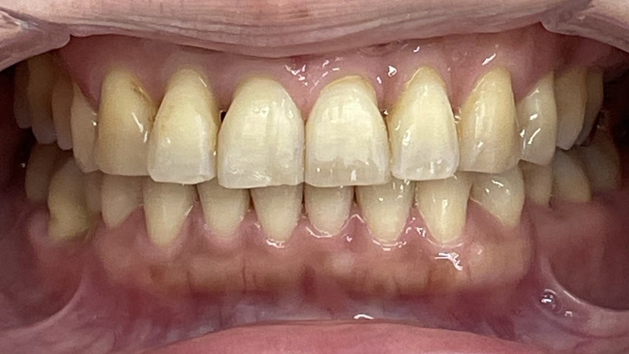
Before

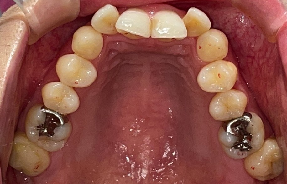
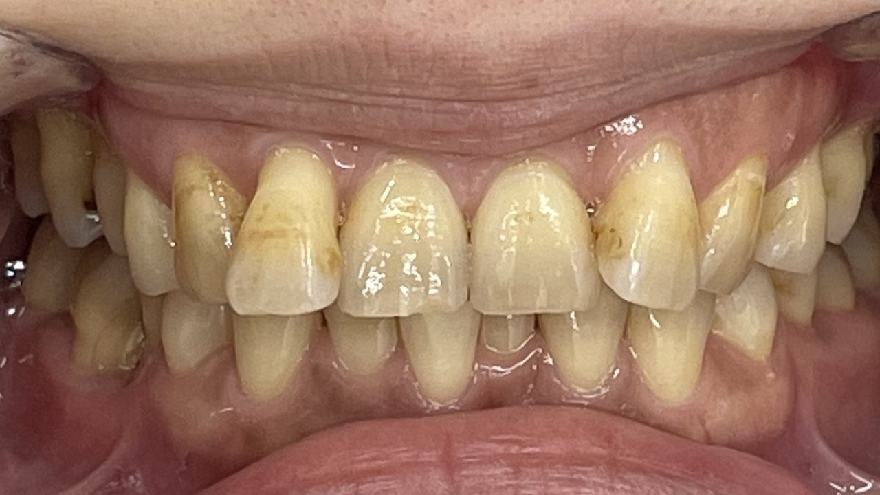
After

矯正の種類 / SmileTRU

年齢・性別 / 30代女性  

主訴  /  上顎前歯部の歯並びが気になる(翼状捻転症例)

治療期間 / 5カ月

費用 / 模型・3Dデータ診断 35,000円(税別)上顎のみマウスピース10枚 220,000円(税別)       

     ※マウスピー交換時別途3,000円(税別)頂きます。               

副作用 / 口内炎・歯の移動に伴う痛み・知覚過敏 ※数日で収まる場合が多いです

リスク / 後戻り防止の為、夜のみマウスピースで保定を指示

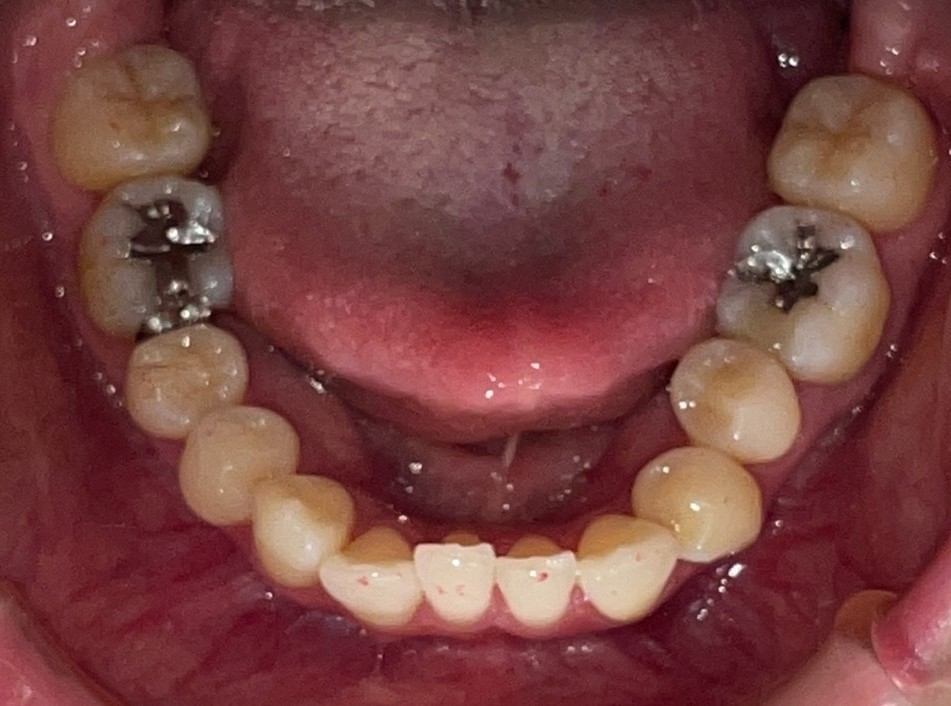
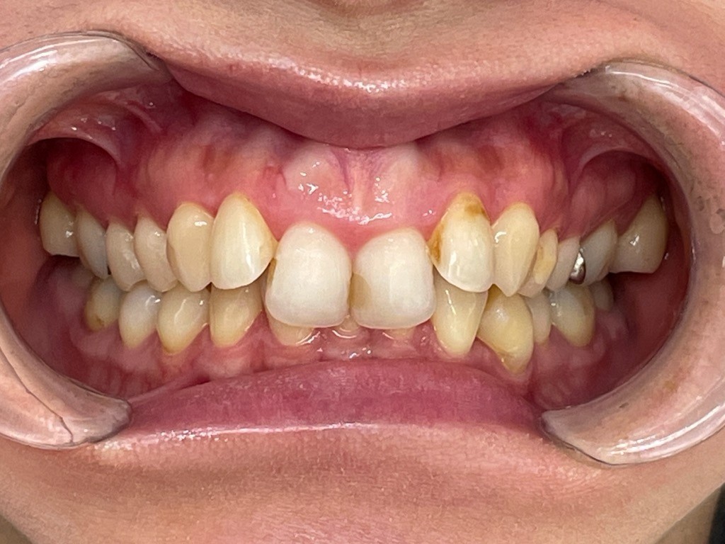
Before

After

矯正の種類 / SmileTRU

年齢・性別 / 10代女性 

主訴  /  下顎前歯部の歯並びがガタガタしている(叢生症例)

治療期間 / 7ヶ月

費用 / 模型・3Dデータ診断 35,000円(税別) 下顎のみマウスピース14枚 308,000円(税別)       ※マウスピース交換時別途調節料3,000円(税別)

副作用 / 口内炎・歯の移動に伴う痛み・知覚過敏 ※数日で収まる場合が多いです

リスク / 後戻り防止の為、夜のみマウスピースで保定を指示

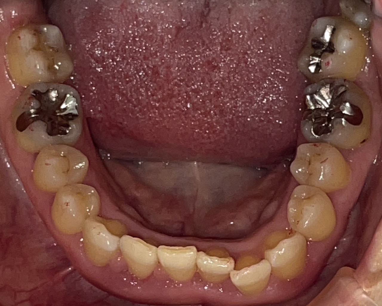
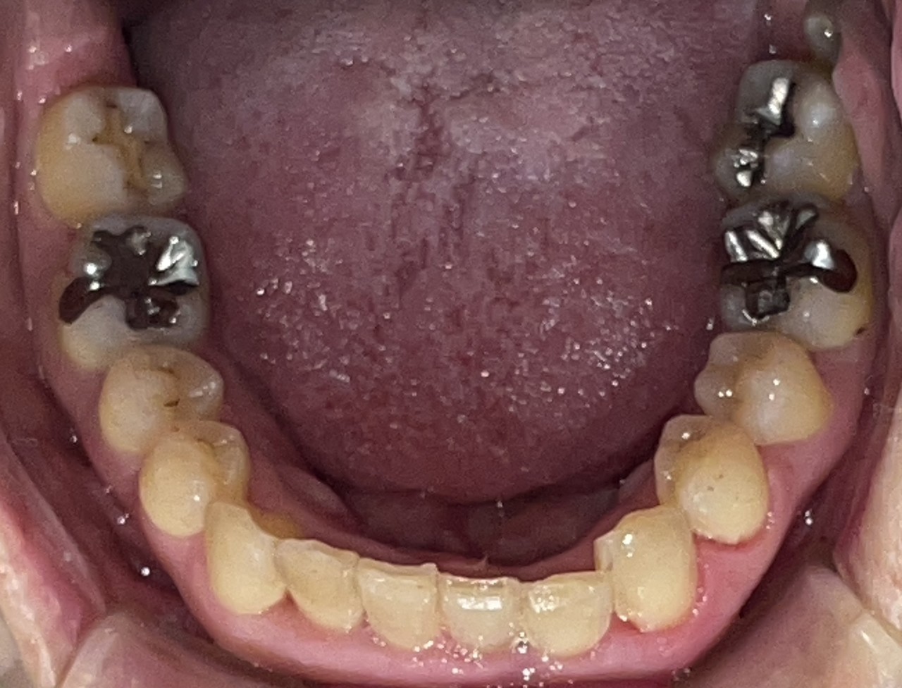
Before

After

矯正の種類 / SmileTRU

年齢・性別 / 30代女性

主訴  /  上顎前歯部が曲がっている(捻転症例)

治療期間 / 5ヶ月

費用 / 模型・3Dデータ診断 35,000円(税別) 上顎のみマウスピース10枚 220,000円(税別)       ※マウスピース交換時別途調節料3,000円(税別)

副作用 / 口内炎・歯の移動に伴う痛み・知覚過敏 ※数日で収まる場合が多いです

リスク / 後戻り防止の為、夜のみマウスピースで保定を指示

Before

After

矯正の種類 / SmileTRU

年齢・性別 / 30代女性

主訴  /  上顎前歯部の隙間

治療期間 / 6ヶ月

費用 / 模型・3Dデータ診断 35,000円(税別) 上顎のみマウスピース12枚 264,000円(税別)       ※マウスピース交換時別途調節料3,000円(税別)

副作用 / 口内炎・歯の移動に伴う痛み・知覚過敏 ※数日で収まる場合が多いです

リスク / 後戻り防止の為、夜のみマウスピースで保定を指示

Before

After

矯正の種類 / SmileTRU

年齢・性別 / 30代女性

主訴  /  下顎前歯部の歯並びがガタガタしている(叢生症例)

治療期間 / 8ヶ月

費用 / 模型・3Dデータ診断 35,000円(税別)

                 上顎マウスピース14枚 308,000円(税別)下顎マウスピース8枚 176,000円(税別)           

     ※マウスピース交換時別途調節料3,000円(税別)

副作用 / 口内炎・歯の移動に伴う痛み・知覚過敏 ※数日で収まる場合が多いです

リスク / 後戻り防止の為、夜のみマウスピースで保定を指示

Before

After

矯正の種類 / SmileTRU

年齢・性別 / 10代女性

主訴  /  上顎前歯部が曲がっている(捻転症例)

治療期間 / 8ヶ月

費用 / 模型・3Dデータ診断 35,000円(税別) 上顎のみマウスピース14枚 308,000円(税別)           

     ※マウスピース交換時別途調節料3,000円(税別)

副作用 / 口内炎・歯の移動に伴う痛み・知覚過敏 ※数日で収まる場合が多いです

リスク / 後戻り防止の為、夜のみマウスピースで保定を指示

Before

After

矯正の種類 / SmileTRU

年齢・性別 / 30代女性

主訴  /  上顎の歯並びがガタガタしている(叢生症例)

治療期間 / 1年2ヶ月

費用 / 模型・3Dデータ診断 35,000円(税別) 上顎のみマウスピース16枚 352,000円(税別)                            

     上顎のみリテーナー料30,000円(税別)           

     ※マウスピース交換時別途調節料3,000円(税別)

副作用 / 口内炎・歯の移動に伴う痛み・知覚過敏 ※数日で収まる場合が多いです

リスク / 後戻り防止の為、夜のみマウスピースで保定を指示

Before

After

矯正の種類 / invisalign GO

年齢・性別 / 20代男性

主訴  /  上顎前歯部の隙間

治療期間 / 4ヶ月

費用 / 簡易検査 5,000円(税別) 精密検査 30,000円(税別)    

              上顎のみマウスピース枚 350,000円(税別)  上顎のみリテイナー料 30,000円(税別)          

     ※マウスピース交換時別途調節料3,000円(税別)

副作用 / 口内炎・歯の移動に伴う痛み・知覚過敏 ※数日で収まる場合が多いです

リスク / 後戻り防止の為、夜のみマウスピースで保定を指示

Before

After

矯正の種類 / invisalign GO

年齢・性別 / 70代女性

主訴  /  下顎前歯部のガタつき

治療期間 / 5ヶ月

費用 / 簡易検査 5,000円(税別) 精密検査 30,000円(税別)    

              下顎のみマウスピース枚 350,000円(税別)  下顎のみリテイナー料 30,000円(税別)          

     ※マウスピース交換時別途調節料3,000円(税別)

副作用 / 口内炎・歯の移動に伴う痛み・知覚過敏 ※数日で収まる場合が多いです

リスク / 後戻り防止の為、夜のみマウスピースで保定を指示

Before

After

矯正の種類 / invisalign GO

年齢・性別 / 10代男性

主訴  /  クロスバイト 嚙み合わせが気になる

治療期間 / 4ヶ月

費用 / 簡易検査 5,000円(税別) 精密検査 30,000円(税別)    

              両額マウスピース 450,000円(税別)  両額リテイナー料 40,000円(税別)          

     ※マウスピース交換時別途調節料3,000円(税別)

副作用 / 口内炎・歯の移動に伴う痛み・知覚過敏 ※数日で収まる場合が多いです

リスク / 後戻り防止の為、夜のみマウスピースで保定を指示

Before

After

矯正の種類 / invisalign GO

年齢・性別 / 30代女性

主訴  /  叢生 かみ合わせ

治療期間 / 17ヶ月

費用 / 簡易検査 5,000円(税別) 精密検査 30,000円(税別)    

              両額マウスピース 450,000円(税別)  両額リテイナー料 60,000円(税別)          

     ※マウスピース交換時別途調節料3,000円(税別)

副作用 / 口内炎・歯の移動に伴う痛み・知覚過敏 ※数日で収まる場合が多いです

リスク / 後戻り防止の為、夜のみマウスピースで保定を指示

Before

After

矯正の種類 / invisalign GO

年齢・性別 / 40代女性

主訴  /  叢生 

治療期間 / 12ヶ月

費用 / 簡易検査 5,000円(税別) 精密検査 30,000円(税別)    

              両額マウスピース 450,000円(税別)  両額リテイナー料 60,000円(税別)          

     ※マウスピース交換時別途調節料3,000円(税別)

副作用 / 口内炎・歯の移動に伴う痛み・知覚過敏 ※数日で収まる場合が多いです

リスク / 後戻り防止の為、夜のみマウスピースで保定を指示

Before

After

矯正の種類 / invisalign GO

年齢・性別 / 50代女性

主訴  /  叢生 交叉咬合

治療期間 / 17ヶ月

費用 / 簡易検査 5,000円(税別) 精密検査 30,000円(税別)    

              両額マウスピース 450,000円(税別)  両額リテイナー料 60,000円(税別)          

     ※マウスピース交換時別途調節料3,000円(税別)

副作用 / 口内炎・歯の移動に伴う痛み・知覚過敏 ※数日で収まる場合が多いです

リスク / 後戻り防止の為、夜のみマウスピースで保定を指示

以下のページもご覧ください

私どもがご提案する矯正治療の特徴を、5つのポイントにまとめてご紹介しています。

当院で受けられる矯正治療の種類と、それぞれの治療方法・費用についてご案内しています。

ご来院から治療の終了まで、どんな流れで治療を進めていくのかご説明しています。

頻繁にご質問いただく内容をピックアップし、まとめました。

院内の様子や、治療に用いる設備・機器などを詳しくご紹介しています。

当院では矯正歯科治療でお悩みの方へ矯正相談を行っています。お電話かご予約フォームよりお気軽にご連絡ください。

04-7168-0330

診療時間

 
午前 ×
午後 ×

午前:9:00~13:00
午後:14:30~18:30
△:14:30~18:00
※最終受付は、診療終了の30分前です。
休診日:月曜・祝日

04-7168-0330

〒270-0101
千葉県流山市大字東深井871-185

スーパーベルク東深井店の駐車場を利用できます。