医療法人社団翔優会マーブルファミリー歯科クリニック

矯正予約サイト

〒270-0101 千葉県流山市大字東深井871-185
スーパーベルク東深井店の駐車場を利用できます。

診療時間
9:00~13:00 ×

14:30~18:30

×

△:14:30~18:00 休診日:月曜・祝日
最終受付は、診療終了の30分前です。

ご予約・お問合せはこちら

04-7168-0330

当院の症例紹介

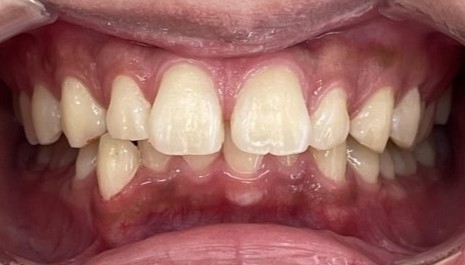
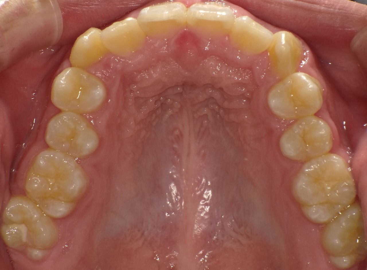
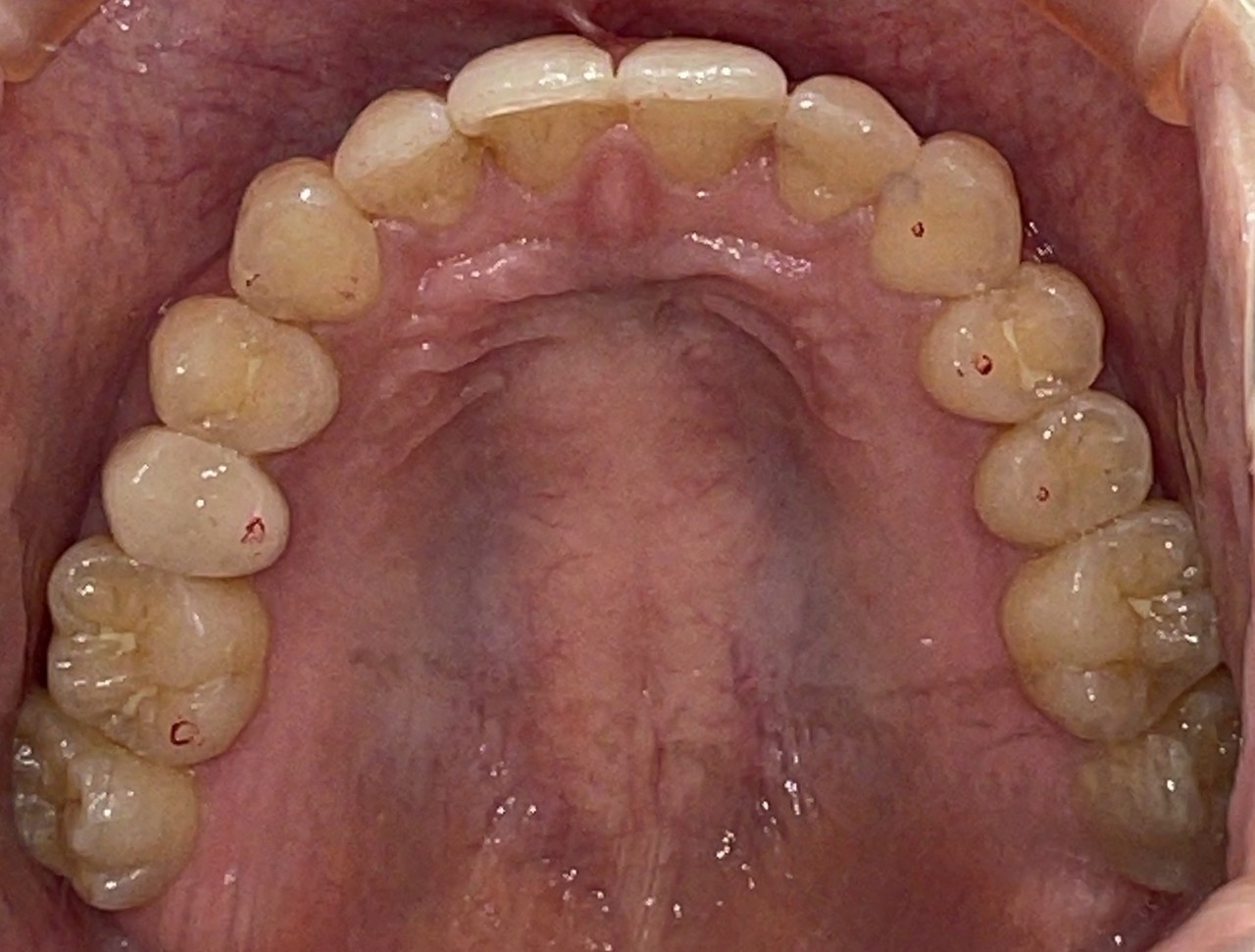
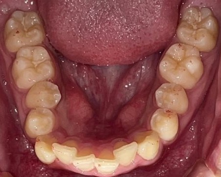
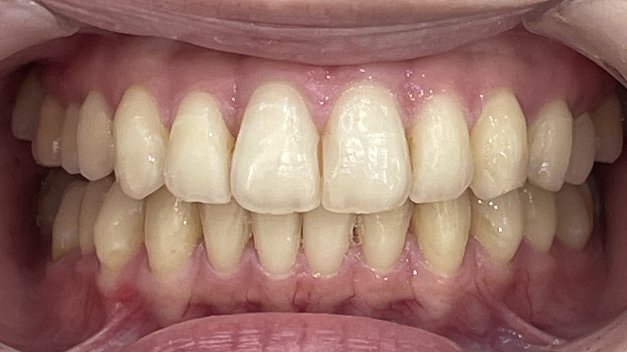
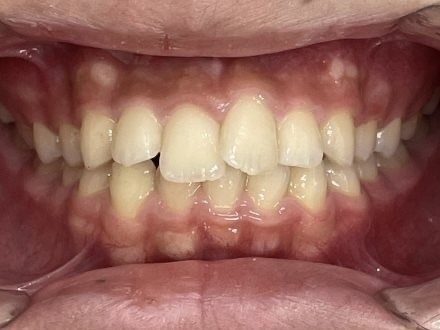
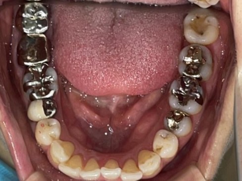
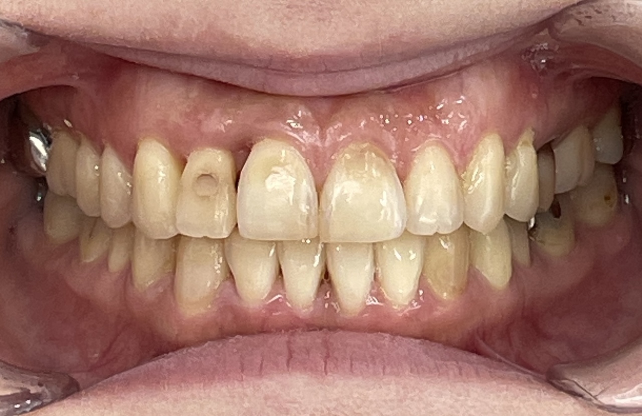
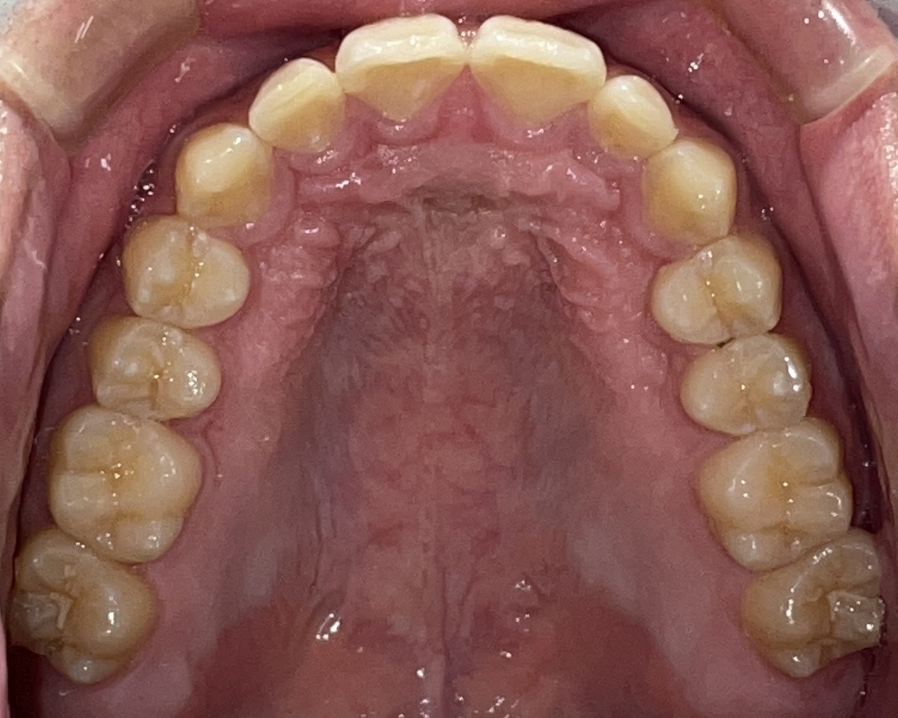
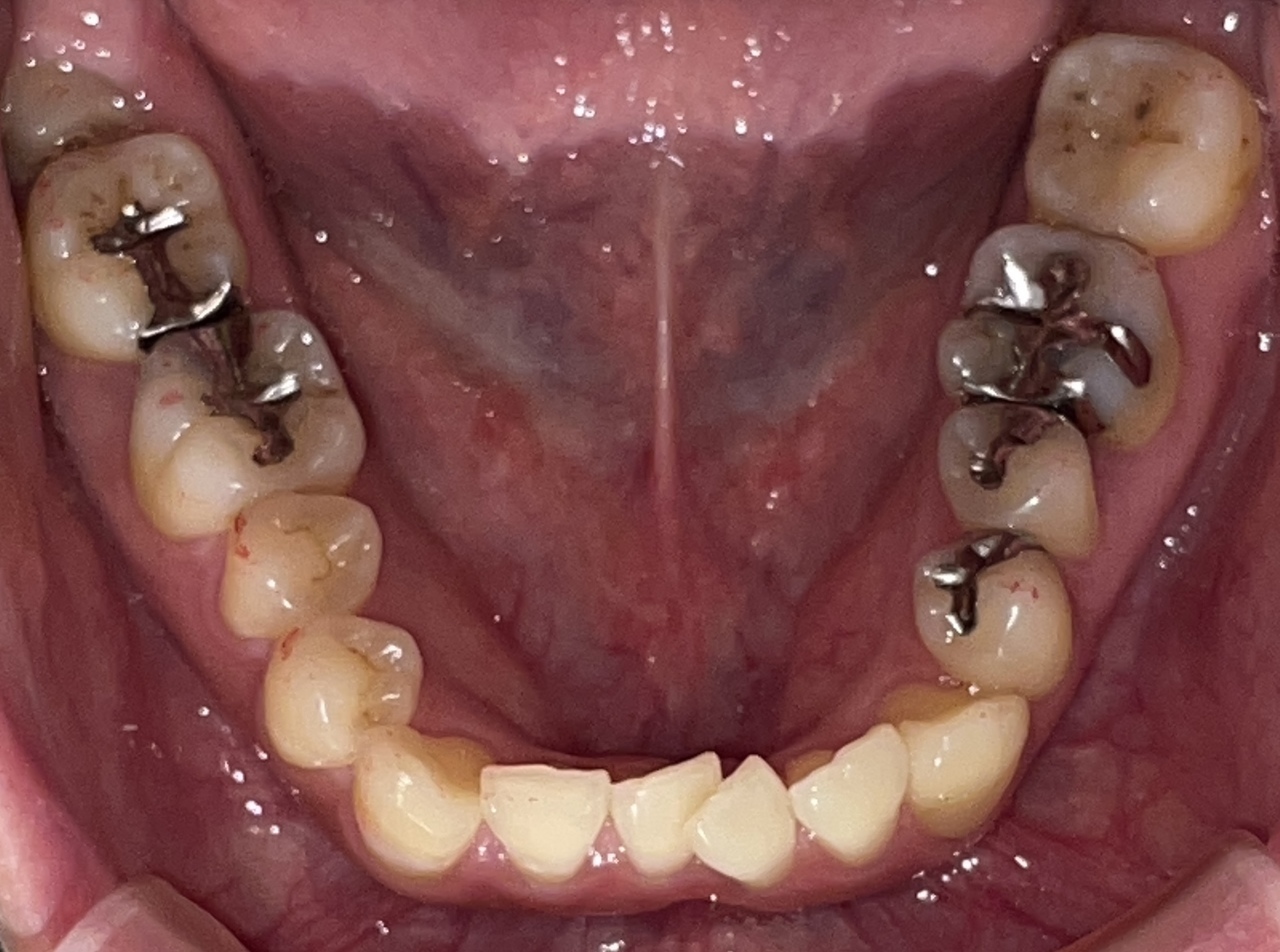
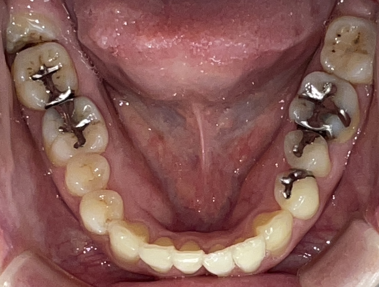
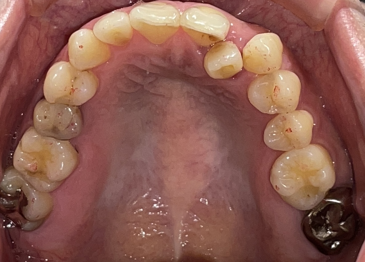
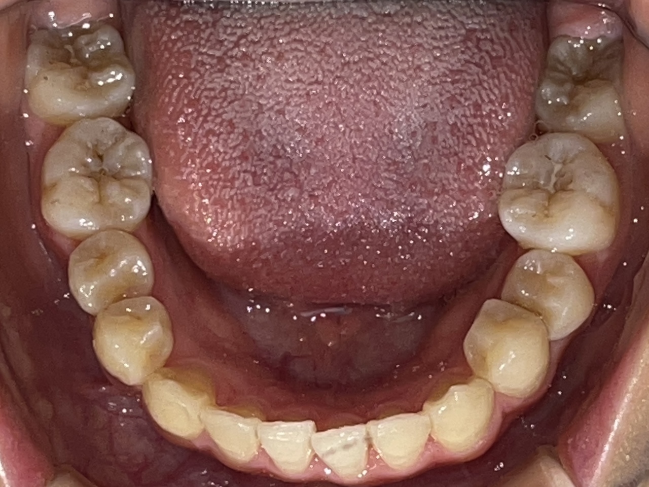
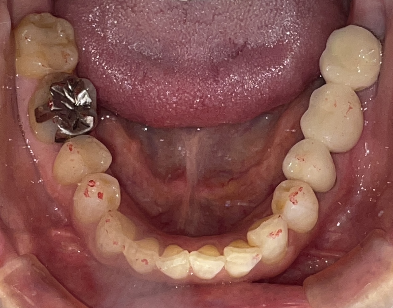
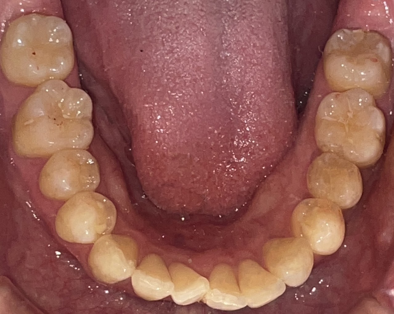
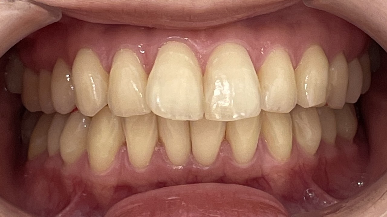
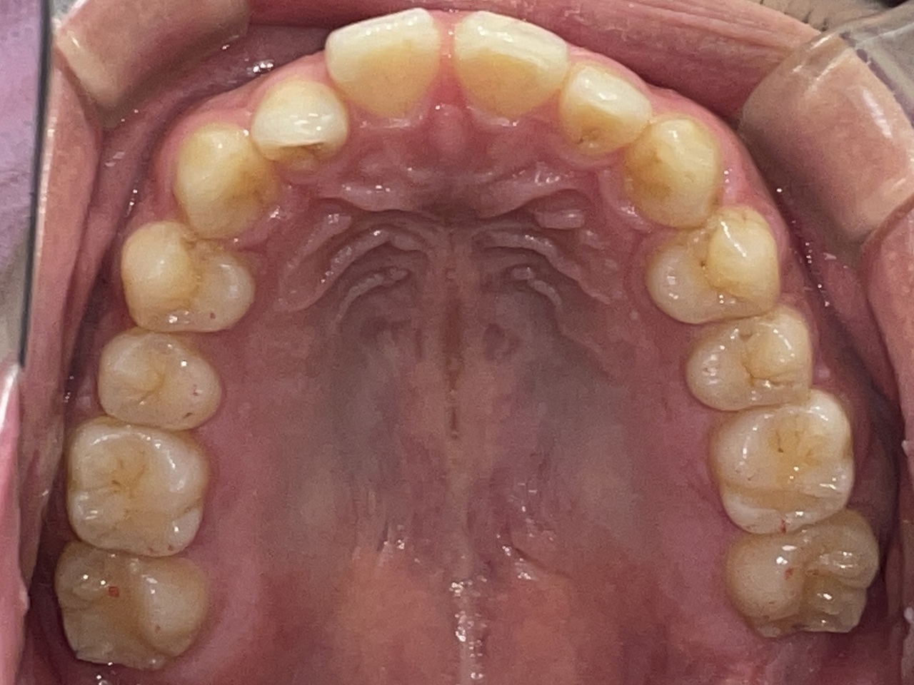
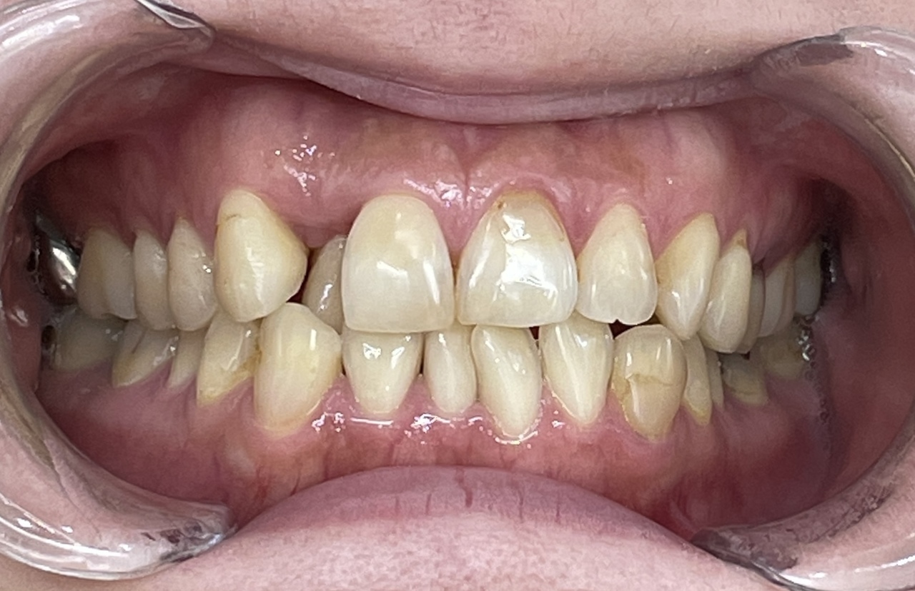
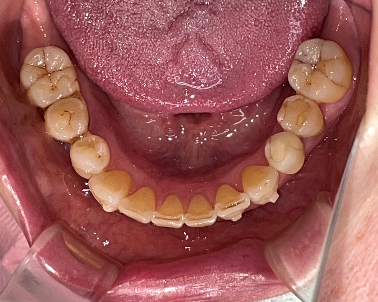
Before

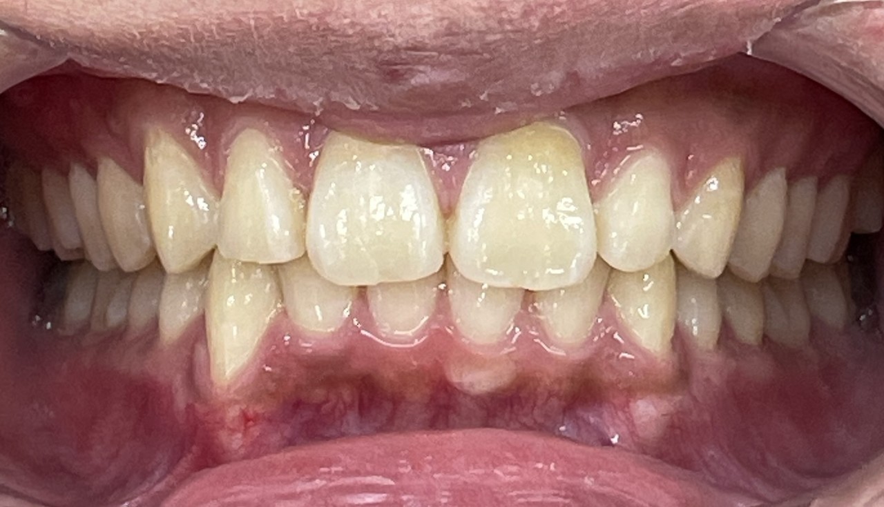
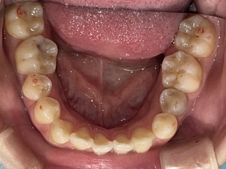
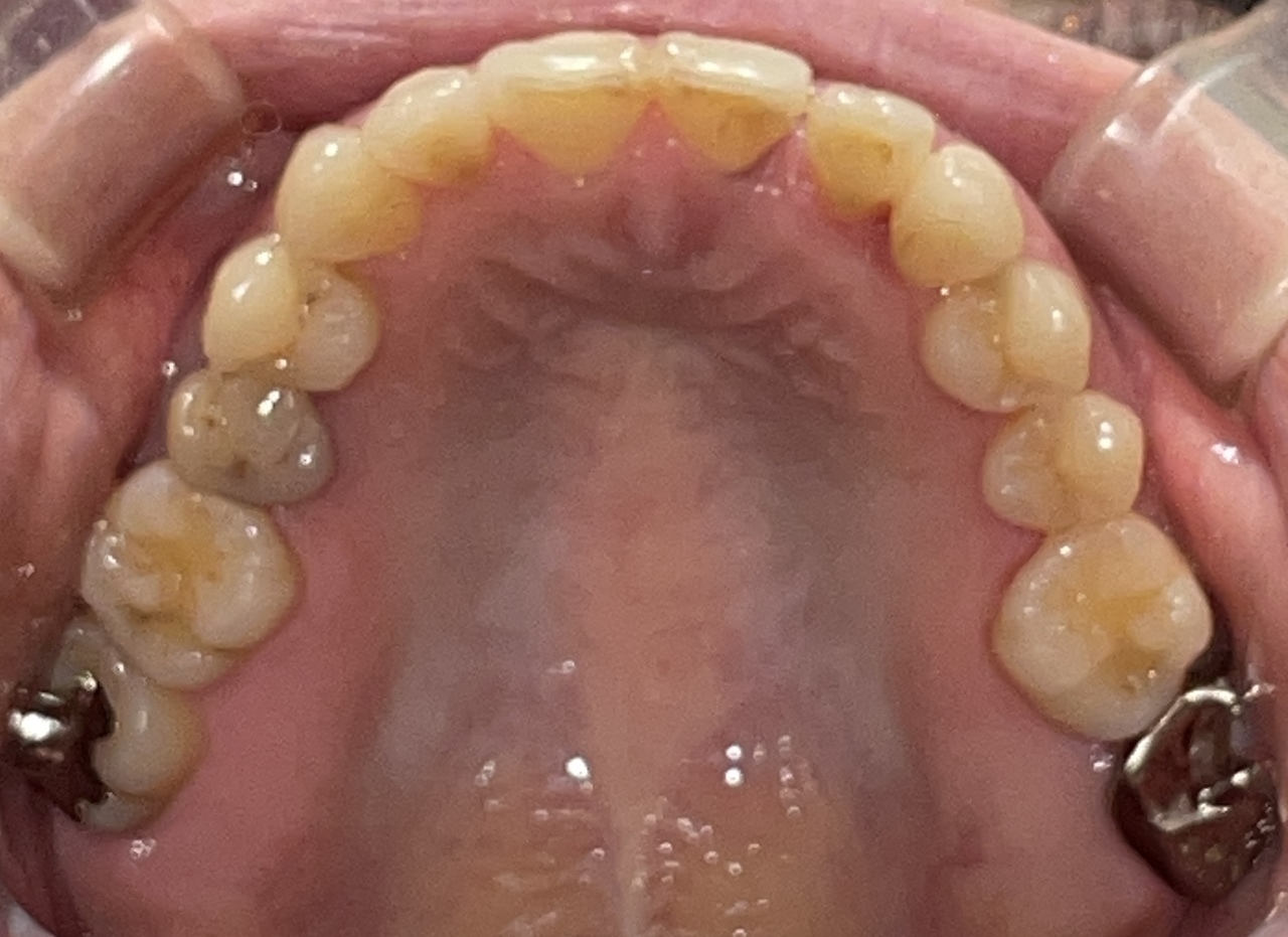
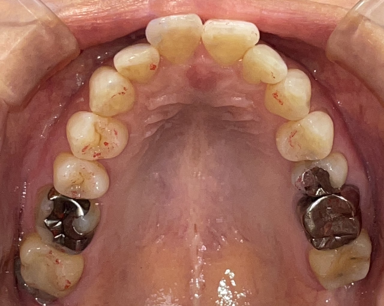
After

矯正の種類 / SmileTRU

年齢・性別 / 10代男性

主訴  /  上顎の歯並びがガタガタしている、前歯部の隙間

治療期間 / 11ヶ月

費用 / 模型・3Dデータ診断 35,000円(税別) 上顎のみマウスピース18枚 396,000円(税別)

     上顎のみリテイナー料 30,000円(税別)          

     ※マウスピース交換時別途調節料3,000円(税別)

副作用 / 口内炎・歯の移動に伴う痛み・知覚過敏 ※数日で収まる場合が多いです

リスク / 後戻り防止の為、夜のみマウスピースで保定を指示

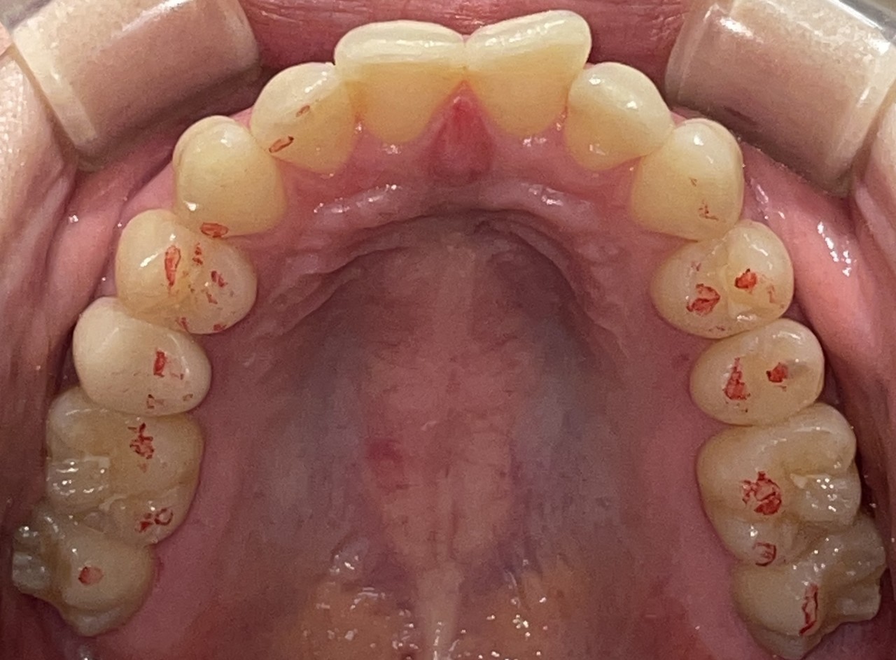
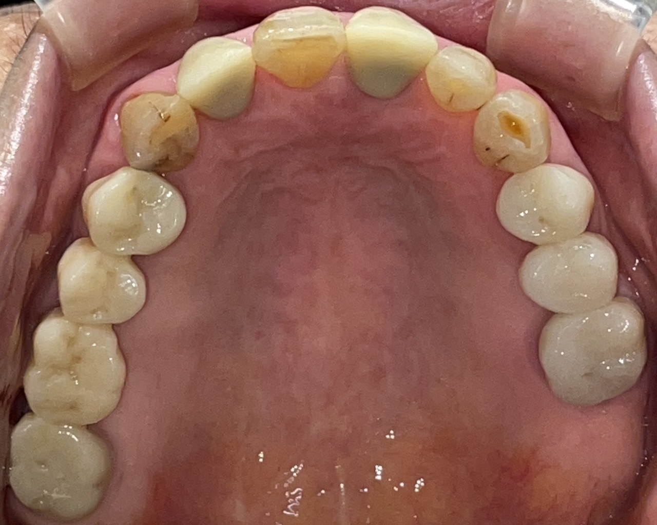
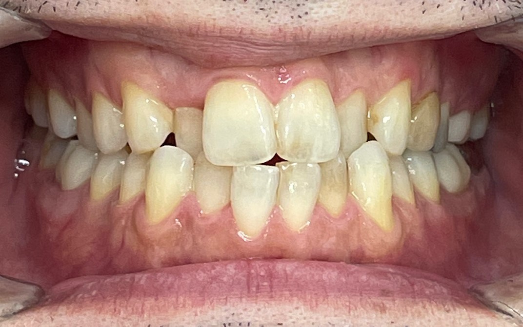
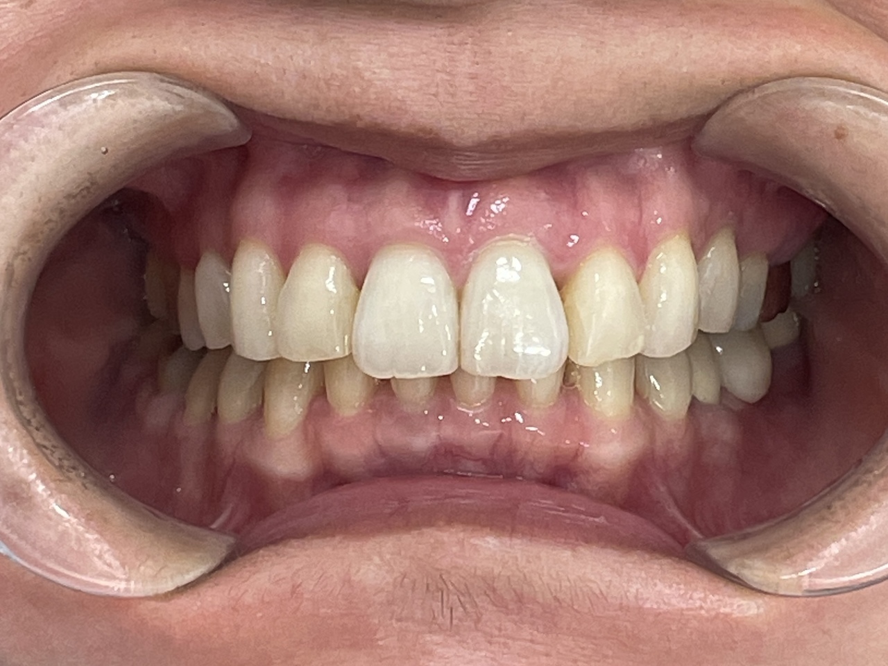
Before

After

矯正の種類 / invisalign GO

年齢・性別 / 10代女性

主訴  /  クロスバイト

治療期間 / 4ヶ月

費用 / 簡易検査 5,000円(税別) 精密検査 30,000円(税別)    

              両額マウスピース 450,000円(税別) 両額リテイナー料 40,000円(税別)          

     ※マウスピース交換時別途調節料5,000円(税別)

副作用 / 口内炎・歯の移動に伴う痛み・知覚過敏 ※数日で収まる場合が多いです

リスク / 後戻り防止の為、夜のみマウスピースで保定を指示

Before

After

矯正の種類 / invisalign GO

年齢・性別 / 10代女性

主訴  /  歯のガタツキ

治療期間 / 7ヶ月

費用 / 簡易検査 5,000円(税別) 精密検査 30,000円(税別)    

              両額マウスピース 450,000円(税別) 両額リテイナー料 40,000円(税別)          

     ※マウスピース交換時別途調節料5,000円(税別)

副作用 / 口内炎・歯の移動に伴う痛み・知覚過敏 ※数日で収まる場合が多いです

リスク / 後戻り防止の為、夜のみマウスピースで保定を指示

Before

After

矯正の種類 / invisalign GO

年齢・性別 / 60代女性

主訴  /  前歯の歯並び

治療期間 / 9ヶ月

費用 / 簡易検査 5,000円(税別) 精密検査 30,000円(税別)    

              両額マウスピース 450,000円(税別) 両額リテイナー料 40,000円(税別)          

     ※マウスピース交換時別途調節料5,000円(税別)

副作用 / 口内炎・歯の移動に伴う痛み・知覚過敏 ※数日で収まる場合が多いです

リスク / 後戻り防止の為、夜のみマウスピースで保定を指示

Before

After

矯正の種類 / invisalign GO

年齢・性別 / 30代女性

主訴  /  前歯の歯並び

治療期間 / 10ヶ月

費用 / 簡易検査 5,000円(税別) 精密検査 30,000円(税別)    

              両額マウスピース 450,000円(税別) 両額リテイナー料 40,000円(税別)          

     ※マウスピース交換時別途調節料5,000円(税別)

副作用 / 口内炎・歯の移動に伴う痛み・知覚過敏 ※数日で収まる場合が多いです

リスク / 後戻り防止の為、夜のみマウスピースで保定を指示

Before

After

矯正の種類 / invisalign GO

年齢・性別 / 30代女性

主訴  /  前歯の歯並び

治療期間 / 9ヶ月

費用 / 簡易検査 5,000円(税別) 精密検査 30,000円(税別)    

              両額マウスピース 450,000円(税別) 両額リテイナー料 40,000円(税別)          

     ※マウスピース交換時別途調節料5,000円(税別)

副作用 / 口内炎・歯の移動に伴う痛み・知覚過敏 ※数日で収まる場合が多いです

リスク / 後戻り防止の為、夜のみマウスピースで保定を指示

Before

After

矯正の種類 / invisalign GO

年齢・性別 / 50代男性

主訴  /  前歯の歯並び

治療期間 / 7ヶ月

費用 / 簡易検査 5,000円(税別) 精密検査 30,000円(税別)    

              両額マウスピース 450,000円(税別) 両額リテイナー料 40,000円(税別)          

     ※マウスピース交換時別途調節料5,000円(税別)

副作用 / 口内炎・歯の移動に伴う痛み・知覚過敏 ※数日で収まる場合が多いです

リスク / 後戻り防止の為、夜のみマウスピースで保定を指示

Before

After

矯正の種類 / invisalign GO

年齢・性別 / 30代女性

主訴  /  上下の叢生、オーバージェット

治療期間 / 15ヶ月

費用 / 簡易検査 5,000円(税別) 精密検査 30,000円(税別)    

              両額マウスピース 450,000円(税別) 両額リテイナー料 40,000円(税別)          

     ※マウスピース交換時別途調節料5,000円(税別)

副作用 / 口内炎・歯の移動に伴う痛み・知覚過敏 ※数日で収まる場合が多いです

リスク / 後戻り防止の為、夜のみマウスピースで保定を指示

Before

After

矯正の種類 / invisalign GO

年齢・性別 / 30代男性

主訴  /  下の歯の叢生、オーバージェット、交叉咬合

治療期間 / 12ヶ月

費用 / 簡易検査 5,000円(税別) 精密検査 30,000円(税別)    

              両額マウスピース 450,000円(税別) 両額リテイナー料 40,000円(税別)          

     ※マウスピース交換時別途調節料5,000円(税別)

副作用 / 口内炎・歯の移動に伴う痛み・知覚過敏 ※数日で収まる場合が多いです

リスク / 後戻り防止の為、夜のみマウスピースで保定を指示

Before

After

矯正の種類 / invisalign GO

年齢・性別 / 40代女性

主訴  /  上下の叢生、開咬、オーバージェット

治療期間 / 12ヶ月

費用 / 簡易検査 5,000円(税別) 精密検査 30,000円(税別)    

              両額マウスピース 450,000円(税別) 両額リテイナー料 40,000円(税別)          

     ※マウスピース交換時別途調節料5,000円(税別)

副作用 / 口内炎・歯の移動に伴う痛み・知覚過敏 ※数日で収まる場合が多いです

リスク / 後戻り防止の為、夜のみマウスピースで保定を指示

Before

After

矯正の種類 / invisalign GO

年齢・性別 / 40代女性

主訴  /  前歯の歯並び

治療期間 / 11ヶ月

費用 / 簡易検査 5,000円(税別) 精密検査 30,000円(税別)    

              両額マウスピース 450,000円(税別) 両額リテイナー料 40,000円(税別)          

     ※マウスピース交換時別途調節料5,000円(税別)

副作用 / 口内炎・歯の移動に伴う痛み・知覚過敏 ※数日で収まる場合が多いです

リスク / 後戻り防止の為、夜のみマウスピースで保定を指示

Before

After

矯正の種類 / invisalign GO

年齢・性別 / 60代女性

主訴  /  前歯の歯並び

治療期間 / 7ヶ月

費用 / 簡易検査 5,000円(税別) 精密検査 30,000円(税別)    

              両額マウスピース 450,000円(税別) 両額リテイナー料 40,000円(税別)          

     ※マウスピース交換時別途調節料5,000円(税別)

副作用 / 口内炎・歯の移動に伴う痛み・知覚過敏 ※数日で収まる場合が多いです

リスク / 後戻り防止の為、夜のみマウスピースで保定を指示

Before

After

矯正の種類 / invisalign GO

年齢・性別 / 40代女性

主訴  /  前歯の歯並び

治療期間 / 8ヶ月

費用 / 簡易検査 5,000円(税別) 精密検査 30,000円(税別)    

              両額マウスピース 450,000円(税別) 両額リテイナー料 40,000円(税別)          

     ※マウスピース交換時別途調節料5,000円(税別)

副作用 / 口内炎・歯の移動に伴う痛み・知覚過敏 ※数日で収まる場合が多いです

リスク / 後戻り防止の為、夜のみマウスピースで保定を指示

Before

After

矯正の種類 / invisalign GO

年齢・性別 / 20代男性

主訴  /  上下前歯の歯並び

治療期間 / 10ヶ月

費用 / 簡易検査 5,000円(税別) 精密検査 30,000円(税別)    

              両額マウスピース 450,000円(税別) 両額リテイナー料 40,000円(税別)          

     ※マウスピース交換時別途調節料5,000円(税別)

副作用 / 口内炎・歯の移動に伴う痛み・知覚過敏 ※数日で収まる場合が多いです

リスク / 後戻り防止の為、夜のみマウスピースで保定を指示

Before

After

矯正の種類 / invisalign GO

年齢・性別 / 10女性

主訴  /  下前歯の歯並び

治療期間 / 10ヶ月

費用 / 簡易検査 5,000円(税別) 精密検査 30,000円(税別)    

              両額マウスピース 450,000円(税別) 両額リテイナー料 40,000円(税別)          

     ※マウスピース交換時別途調節料5,000円(税別)

副作用 / 口内炎・歯の移動に伴う痛み・知覚過敏 ※数日で収まる場合が多いです

リスク / 後戻り防止の為、夜のみマウスピースで保定を指示

Before

After

矯正の種類 / invisalign GO

年齢・性別 / 80女性

主訴  /  下前歯の歯並び

治療期間 / 16ヶ月

費用 / 簡易検査 5,000円(税別) 精密検査 30,000円(税別)    

              両額マウスピース 450,000円(税別) 両額リテイナー料 40,000円(税別)          

     ※マウスピース交換時別途調節料5,000円(税別)

副作用 / 口内炎・歯の移動に伴う痛み・知覚過敏 ※数日で収まる場合が多いです

リスク / 後戻り防止の為、夜のみマウスピースで保定を指示

Before

After

矯正の種類 / invisalign GO

年齢・性別 / 30代男

主訴  /  上前歯の空隙、捻転

治療期間 / 12ヶ月

費用 / 簡易検査 5,000円(税別) 精密検査 30,000円(税別)    

              両額マウスピース 450,000円(税別) 両額リテイナー料 40,000円(税別)          

     ※マウスピース交換時別途調節料5,000円(税別)

副作用 / 口内炎・歯の移動に伴う痛み・知覚過敏 ※数日で収まる場合が多いです

リスク / 後戻り防止の為、夜のみマウスピースで保定を指示

Before

After

矯正の種類 / invisalign GO

年齢・性別 / 50代女性

主訴  /  上下顎綺麗な歯並びにしたい

治療期間 / 12ヶ月

費用 / 簡易検査 5,000円(税別) 精密検査 30,000円(税別)    

              両額マウスピース 450,000円(税別) 両額リテイナー料 40,000円(税別)          

     ※マウスピース交換時別途調節料5,000円(税別)

副作用 / 口内炎・歯の移動に伴う痛み・知覚過敏 ※数日で収まる場合が多いです

リスク / 後戻り防止の為、夜のみマウスピースで保定を指示

Before

After

矯正の種類 / invisalign GO

年齢・性別 / 30代男性

主訴  /  下顎前歯の歯並び

治療期間 / 12ヶ月

費用 / 簡易検査 5,000円(税別) 精密検査 30,000円(税別)    

              両額マウスピース 450,000円(税別) 両額リテイナー料 40,000円(税別)          

     ※マウスピース交換時別途調節料5,000円(税別)

副作用 / 口内炎・歯の移動に伴う痛み・知覚過敏 ※数日で収まる場合が多いです

リスク / 後戻り防止の為、夜のみマウスピースで保定を指示

Before

After

矯正の種類 / invisalign GO

年齢・性別 / 50代性女性

主訴  /  上顎前歯の歯並び

治療期間 / 10ヶ月

費用 / 簡易検査 5,000円(税別) 精密検査 30,000円(税別)    

              両額マウスピース 450,000円(税別) 両額リテイナー料 40,000円(税別)          

     ※マウスピース交換時別途調節料5,000円(税別)

副作用 / 口内炎・歯の移動に伴う痛み・知覚過敏 ※数日で収まる場合が多いです

リスク / 後戻り防止の為、夜のみマウスピースで保定を指示

Before

After

矯正の種類 / invisalign GO

年齢・性別 / 20代性女性

主訴  /  上顎前歯部の突出感

治療期間 / 11ヶ月

費用 / 簡易検査 5,000円(税別) 精密検査 30,000円(税別)    

              両額マウスピース 450,000円(税別) 両額リテイナー料 40,000円(税別)          

     ※マウスピース交換時別途調節料5,000円(税別)

副作用 / 口内炎・歯の移動に伴う痛み・知覚過敏 ※数日で収まる場合が多いです

リスク / 後戻り防止の為、夜のみマウスピースで保定を指示

Before

After

矯正の種類 / invisalign GO

年齢・性別 / 10代性女性

主訴  /  前歯の隙間

治療期間 / 16ヶ月

費用 / 簡易検査 5,000円(税別) 精密検査 30,000円(税別)    

              両額マウスピース 450,000円(税別) 両額リテイナー料 40,000円(税別)          

     ※マウスピース交換時別途調節料5,000円(税別)

副作用 / 口内炎・歯の移動に伴う痛み・知覚過敏 ※数日で収まる場合が多いです

リスク / 後戻り防止の為、夜のみマウスピースで保定を指示

Before

After

矯正の種類 / invisalign GO

年齢・性別 / 30代性女性

主訴  /  前歯の歯並び

治療期間 / 14ヶ月

費用 / 簡易検査 5,000円(税別) 精密検査 30,000円(税別)    

              両額マウスピース 450,000円(税別) 両額リテイナー料 40,000円(税別)          

     ※マウスピース交換時別途調節料5,000円(税別)

副作用 / 口内炎・歯の移動に伴う痛み・知覚過敏 ※数日で収まる場合が多いです

リスク / 後戻り防止の為、夜のみマウスピースで保定を指示

Before

After

矯正の種類 / invisalign GO

年齢・性別 / 70代性女性

主訴  /  上下前歯の歯並び

治療期間 / 13ヶ月

費用 / 簡易検査 5,000円(税別) 精密検査 30,000円(税別)    

              両額マウスピース 450,000円(税別) 両額リテイナー料 40,000円(税別)          

     ※マウスピース交換時別途調節料5,000円(税別)

副作用 / 口内炎・歯の移動に伴う痛み・知覚過敏 ※数日で収まる場合が多いです

リスク / 後戻り防止の為、夜のみマウスピースで保定を指示

Before

After

矯正の種類 / invisalign GO

年齢・性別 / 20代男性

主訴  /  下前歯の歯並び

治療期間 / 15ヶ月

費用 / 簡易検査 5,000円(税別) 精密検査 30,000円(税別)    

              両額マウスピース 450,000円(税別) 両額リテイナー料 40,000円(税別)          

     ※マウスピース交換時別途調節料5,000円(税別)

副作用 / 口内炎・歯の移動に伴う痛み・知覚過敏 ※数日で収まる場合が多いです

リスク / 後戻り防止の為、夜のみマウスピースで保定を指示

Before

After

矯正の種類 / invisalign GO

年齢・性別 / 20代女性

主訴  /  前歯の反対咬合

治療期間 / 14ヶ月

費用 / 簡易検査 5,000円(税別) 精密検査 30,000円(税別)    

              両額マウスピース 450,000円(税別) 両額リテイナー料 40,000円(税別)          

     ※マウスピース交換時別途調節料5,000円(税別)

副作用 / 口内炎・歯の移動に伴う痛み・知覚過敏 ※数日で収まる場合が多いです

リスク / 後戻り防止の為、夜のみマウスピースで保定を指示

Before

After

矯正の種類 / invisalign GO

年齢・性別 / 20代男性

主訴  /  上下前歯の空隙

治療期間 / 17ヶ月

費用 / 簡易検査 5,000円(税別) 精密検査 30,000円(税別)    

              両額マウスピース 450,000円(税別) 両額リテイナー料 40,000円(税別)          

     ※マウスピース交換時別途調節料5,000円(税別)

副作用 / 口内炎・歯の移動に伴う痛み・知覚過敏 ※数日で収まる場合が多いです

リスク / 後戻り防止の為、夜のみマウスピースで保定を指示

Before

After

矯正の種類 / invisalign GO

年齢・性別 / 60代女性

主訴  /  下顎前歯の歯並び

治療期間 / 12ヶ月

費用 / 簡易検査 5,000円(税別) 精密検査 30,000円(税別)    

              両マ顎ウスピース 450,000円(税別) 両顎リテイナー料 40,000円(税別)          

     ※マウスピース交換時別途調節料5,000円(税別)

副作用 / 口内炎・歯の移動に伴う痛み・知覚過敏 ※数日で収まる場合が多いです

リスク / 後戻り防止の為、夜のみマウスピースで保定を指示

Before

After

矯正の種類 / invisalign GO

年齢・性別 / 20代男性

主訴  /  上顎正中の空隙

治療期間 / 5ヶ月

費用 / 簡易検査 5,000円(税別) 精密検査 30,000円(税別)    

              片顎マウスピース 350,000円(税別) 両顎リテイナー料 40,000円(税別)          

     ※マウスピース交換時別途調節料5,000円(税別)

副作用 / 口内炎・歯の移動に伴う痛み・知覚過敏 ※数日で収まる場合が多いです

リスク / 後戻り防止の為、夜のみマウスピースで保定を指示

Before

After

矯正の種類 / invisalign GO

年齢・性別 / 40代男性

主訴  /  上下顎前歯の叢生

治療期間 / 12ヶ月

費用 / 簡易検査 5,000円(税別) 精密検査 30,000円(税別)    

              両顎マウスピース 450,000円(税別) 両顎リテイナー料 40,000円(税別)          

     ※マウスピース交換時別途調節料5,000円(税別)

副作用 / 口内炎・歯の移動に伴う痛み・知覚過敏 ※数日で収まる場合が多いです

リスク / 後戻り防止の為、夜のみマウスピースで保定を指示

Before

After

矯正の種類 / invisalign GO

年齢・性別 / 50代女性

主訴  /  上下顎前歯の叢生

治療期間 / 7ヶ月

費用 / 簡易検査 5,000円(税別) 精密検査 30,000円(税別)    

              両顎マウスピース 450,000円(税別) 両顎リテイナー料 40,000円(税別)          

     ※マウスピース交換時別途調節料5,000円(税別)

副作用 / 口内炎・歯の移動に伴う痛み・知覚過敏 ※数日で収まる場合が多いです

リスク / 後戻り防止の為、夜のみマウスピースで保定を指示

Before

After

矯正の種類 / invisalign GO

年齢・性別 / 30代男性

主訴  /  上下顎前歯の叢生

治療期間 / 16ヶ月

費用 / 簡易検査 5,000円(税別) 精密検査 30,000円(税別)    

              両顎マウスピース 450,000円(税別) 両顎リテイナー料 40,000円(税別)          

     ※マウスピース交換時別途調節料5,000円(税別)

副作用 / 口内炎・歯の移動に伴う痛み・知覚過敏 ※数日で収まる場合が多いです

リスク / 後戻り防止の為、夜のみマウスピースで保定を指示

Before

After

矯正の種類 / invisalign GO

年齢・性別 / 20代男性

主訴  /  上顎前歯の空隙、上下顎前歯の叢生

治療期間 / 24ヶ月

費用 / 簡易検査 5,000円(税別) 精密検査 30,000円(税別)    

              両顎マウスピース 450,000円(税別) 両顎リテイナー料 40,000円(税別)          

     ※マウスピース交換時別途調節料5,000円(税別)

副作用 / 口内炎・歯の移動に伴う痛み・知覚過敏 ※数日で収まる場合が多いです

リスク / 後戻り防止の為、夜のみマウスピースで保定を指示

Before

After

矯正の種類 / invisalign GO

年齢・性別 / 20代女性

主訴  /  上顎の叢生、開咬

治療期間 / 15ヶ月

費用 / 簡易検査 5,000円(税別) 精密検査 30,000円(税別)    

              両顎マウスピース 450,000円(税別) 両顎リテイナー料 40,000円(税別)          

     ※マウスピース交換時別途調節料5,000円(税別)

副作用 / 口内炎・歯の移動に伴う痛み・知覚過敏 ※数日で収まる場合が多いです

リスク / 後戻り防止の為、夜のみマウスピースで保定を指示

Before

After

矯正の種類 / invisalign GO

年齢・性別 / 20代男性

主訴  /  上顎前突、開咬、下顎の叢生

治療期間 / 17ヶ月

費用 / 簡易検査 5,000円(税別) 精密検査 30,000円(税別)    

              両顎マウスピース 450,000円(税別) 両顎リテイナー料 40,000円(税別)          

     ※マウスピース交換時別途調節料5,000円(税別)

副作用 / 口内炎・歯の移動に伴う痛み・知覚過敏 ※数日で収まる場合が多いです

リスク / 後戻り防止の為、夜のみマウスピースで保定を指示

Before

After

矯正の種類 / invisalign GO

年齢・性別 / 20代男性

主訴  /  上下顎の叢生

治療期間 / 20ヶ月

費用 / 簡易検査 5,000円(税別) 精密検査 30,000円(税別)    

              両顎マウスピース 450,000円(税別) 両顎リテイナー料 40,000円(税別)          

     ※マウスピース交換時別途調節料5,000円(税別)

副作用 / 口内炎・歯の移動に伴う痛み・知覚過敏 ※数日で収まる場合が多いです

リスク / 後戻り防止の為、夜のみマウスピースで保定を指示

Before

After

矯正の種類 / invisalign GO

年齢・性別 / 30代男性

主訴  /  上顎空隙

治療期間 / 18ヶ月

費用 / 簡易検査 5,000円(税別) 精密検査 30,000円(税別)    

              両顎マウスピース 450,000円(税別) 両顎リテイナー料 40,000円(税別)          

     ※マウスピース交換時別途調節料5,000円(税別)

副作用 / 口内炎・歯の移動に伴う痛み・知覚過敏 ※数日で収まる場合が多いです

リスク / 後戻り防止の為、夜のみマウスピースで保定を指示

Before

After

矯正の種類 / invisalign GO

年齢・性別 / 10代男性

主訴  /  上顎叢生

治療期間 / 18ヶ月

費用 / 簡易検査 5,000円(税別) 精密検査 30,000円(税別)    

              両顎マウスピース 450,000円(税別) 両顎リテイナー料 40,000円(税別)          

     ※マウスピース交換時別途調節料5,000円(税別)

副作用 / 口内炎・歯の移動に伴う痛み・知覚過敏 ※数日で収まる場合が多いです

リスク / 後戻り防止の為、夜のみマウスピースで保定を指示

Before

After

矯正の種類 / invisalign GO

年齢・性別 / 10代女性

主訴  /  上下顎叢生

治療期間 / 13ヶ月

費用 / 簡易検査 5,000円(税別) 精密検査 30,000円(税別)    

              両顎マウスピース 450,000円(税別) 両顎リテイナー料 40,000円(税別)          

     ※マウスピース交換時別途調節料5,000円(税別)

副作用 / 口内炎・歯の移動に伴う痛み・知覚過敏 ※数日で収まる場合が多いです

リスク / 後戻り防止の為、夜のみマウスピースで保定を指示

Before

After

矯正の種類 / invisalign GO

年齢・性別 / 10代女性

主訴  /  上下顎叢生

治療期間 / 15ヶ月

費用 / 簡易検査 5,000円(税別) 精密検査 30,000円(税別)    

              両顎マウスピース 450,000円(税別) 両顎リテイナー料 40,000円(税別)          

     ※マウスピース交換時別途調節料5,000円(税別)

副作用 / 口内炎・歯の移動に伴う痛み・知覚過敏 ※数日で収まる場合が多いです

リスク / 後戻り防止の為、夜のみマウスピースで保定を指示

Before

After

矯正の種類 / invisalign GO

年齢・性別 / 60代女性

主訴  /  反対咬合

治療期間 / 17ヶ月

費用 / 簡易検査 5,000円(税別) 精密検査 30,000円(税別)    

              両顎マウスピース 450,000円(税別) 両顎リテイナー料 60,000円(税別)          

     ※マウスピース交換時別途調節料5,000円(税別)

副作用 / 口内炎・歯の移動に伴う痛み・知覚過敏 ※数日で収まる場合が多いです

リスク / 後戻り防止の為、夜のみマウスピースで保定を指示

Before

After

矯正の種類 / invisalign GO

年齢・性別 / 60代女性

主訴  /  叢生

治療期間 / 17ヶ月

費用 / 簡易検査 5,000円(税別) 精密検査 30,000円(税別)    

              両顎マウスピース 450,000円(税別) 両顎リテイナー料 90,000円(税別)          

     ※マウスピース交換時別途調節料5,000円(税別)

副作用 / 口内炎・歯の移動に伴う痛み・知覚過敏 ※数日で収まる場合が多いです

リスク / 後戻り防止の為、夜のみマウスピースで保定を指示

Before

After

矯正の種類 / invisalign GO

年齢・性別 / 40代男性

主訴  /  叢生

治療期間 / 17ヶ月

費用 / 簡易検査 5,000円(税別) 精密検査 30,000円(税別)    

              両顎マウスピース 450,000円(税別) 両顎リテイナー料 60,000円(税別)          

     ※マウスピース交換時別途調節料5,000円(税別)

副作用 / 口内炎・歯の移動に伴う痛み・知覚過敏 ※数日で収まる場合が多いです

リスク / 後戻り防止の為、夜のみマウスピースで保定を指示

Before

After

矯正の種類 / invisalign GO

年齢・性別 / 40代男性

主訴  /  上顎前突

治療期間 / 17ヶ月

費用 / 簡易検査 5,000円(税別) 精密検査 30,000円(税別)    

              両顎マウスピース 450,000円(税別) 両顎リテイナー料 60,000円(税別)          

     ※マウスピース交換時別途調節料5,000円(税別)

副作用 / 口内炎・歯の移動に伴う痛み・知覚過敏 ※数日で収まる場合が多いです

リスク / 後戻り防止の為、夜のみマウスピースで保定を指示

Before

After

矯正の種類 / invisalign GO

年齢・性別 / 50代女性

主訴  /  上顎前突

治療期間 / 16ヶ月

費用 / 簡易検査 5,000円(税別) 精密検査 30,000円(税別)    

              両顎マウスピース 450,000円(税別) 両顎リテイナー料 60,000円(税別)          

     ※マウスピース交換時別途調節料5,000円(税別)

副作用 / 口内炎・歯の移動に伴う痛み・知覚過敏 ※数日で収まる場合が多いです

リスク / 後戻り防止の為、夜のみマウスピースで保定を指示

Before

After

矯正の種類 / invisalign GO

年齢・性別 / 20代女性

主訴  /  上顎前突

治療期間 / 16ヶ月

費用 / 簡易検査 5,000円(税別) 精密検査 30,000円(税別)    

              両顎マウスピース 450,000円(税別) 両顎リテイナー料 60,000円(税別)          

     ※マウスピース交換時別途調節料5,000円(税別)

副作用 / 口内炎・歯の移動に伴う痛み・知覚過敏 ※数日で収まる場合が多いです

リスク / 後戻り防止の為、夜のみマウスピースで保定を指示

Before

After

矯正の種類 / invisalign GO

年齢・性別 / 10代男性

主訴  /  叢生

治療期間 / 16ヶ月

費用 / 簡易検査 5,000円(税別) 精密検査 30,000円(税別)    

              両顎マウスピース 450,000円(税別) 両顎リテイナー料 60,000円(税別)          

     ※マウスピース交換時別途調節料5,000円(税別)

副作用 / 口内炎・歯の移動に伴う痛み・知覚過敏 ※数日で収まる場合が多いです

リスク / 後戻り防止の為、夜のみマウスピースで保定を指示

Before

After

矯正の種類 / invisalign GO

年齢・性別 / 30代女性

主訴  /  叢生、交叉咬合

治療期間 / 17ヶ月

費用 / 簡易検査 5,000円(税別) 精密検査 30,000円(税別)    

              両顎マウスピース 450,000円(税別) 両顎リテイナー料 60,000円(税別)          

     ※マウスピース交換時別途調節料5,000円(税別)

副作用 / 口内炎・歯の移動に伴う痛み・知覚過敏 ※数日で収まる場合が多いです

リスク / 後戻り防止の為、夜のみマウスピースで保定を指示

以下のページもご覧ください

私どもがご提案する矯正治療の特徴を、5つのポイントにまとめてご紹介しています。

当院で受けられる矯正治療の種類と、それぞれの治療方法・費用についてご案内しています。

ご来院から治療の終了まで、どんな流れで治療を進めていくのかご説明しています。

頻繁にご質問いただく内容をピックアップし、まとめました。

院内の様子や、治療に用いる設備・機器などを詳しくご紹介しています。

当院では矯正歯科治療でお悩みの方へ矯正相談を行っています。お電話かご予約フォームよりお気軽にご連絡ください。

04-7168-0330

診療時間

 
午前 ×
午後 ×

午前:9:00~13:00
午後:14:30~18:30
△:14:30~18:00
※最終受付は、診療終了の30分前です。
休診日:月曜・祝日

04-7168-0330

〒270-0101
千葉県流山市大字東深井871-185

スーパーベルク東深井店の駐車場を利用できます。